51黑料吃瓜中心
  • 首页
  • 今日吃瓜
  • 热门大瓜
  • 每日大赛
  • 黑料吃瓜
  • 娱乐新闻
  • 黑料百科
  • 山西卫视新闻爆料电话,揭秘幕后真相

    你有没有听说最近山西卫视的新闻爆料电话成了大家热议的话题呢?这可不是一般的电话,它可是让不少秘密曝光在阳光下,让真相大白于天下的...

    • 山西卫视新闻爆料电话,揭秘幕后真相
    • 山西卫视新闻爆料电话,揭秘幕后真相
    • 山西卫视新闻爆料电话,揭秘幕后真相
    admin admin 2025-11-28 79 0
    今日吃瓜
  • 瓜姐娱乐圈爆料是真的吗,真相揭秘还是无稽之谈?

    最近瓜姐娱乐圈的爆料可是让整个网络都炸开了锅!你有没有被那些劲爆的消息吸引眼球呢?今天,我们就来一探究竟,看看这些瓜姐娱乐圈的爆...

    • 瓜姐娱乐圈爆料是真的吗,真相揭秘还是无稽之谈?
    • 瓜姐娱乐圈爆料是真的吗,真相揭秘还是无稽之谈?
    • 瓜姐娱乐圈爆料是真的吗,真相揭秘还是无稽之谈?
    admin admin 2025-11-28 136 0
    黑料百科
  • 芜湖一中爆料案件最新,揭秘校园安全事件背后的真相

    芜湖一中爆料案件最新进展:揭秘校园风云背后的真相亲爱的读者们,你是否还记得那个轰动一时的芜湖一中爆料案件?如今,案件已经有了新的...

    • 芜湖一中爆料案件最新,揭秘校园安全事件背后的真相
    • 芜湖一中爆料案件最新,揭秘校园安全事件背后的真相
    • 芜湖一中爆料案件最新,揭秘校园安全事件背后的真相
    admin admin 2025-11-28 95 0
    黑料百科
  • 心理罪2全集在线观看,罪与罚——揭秘犯罪心理的惊悚之旅

    亲爱的读者们,你是否曾为寻找一部扣人心弦的悬疑电影而绞尽脑汁?今天,我要给你带来一个超级福利——让你轻松在线观看《心理罪2》全集...

    • 心理罪2全集在线观看,罪与罚——揭秘犯罪心理的惊悚之旅
    • 心理罪2全集在线观看,罪与罚——揭秘犯罪心理的惊悚之旅
    • 心理罪2全集在线观看,罪与罚——揭秘犯罪心理的惊悚之旅
    admin admin 2025-11-28 86 0
    黑料百科
  • 于正爆料最新动态视频,娱乐圈幕后真相大曝光!

    最近娱乐圈可是炸开了锅,因为著名编剧于正又来了一次大爆料!这次,他可是直接通过视频的形式,向我们展示了他的最新动态。咱们就一起来...

    • 于正爆料最新动态视频,娱乐圈幕后真相大曝光!
    • 于正爆料最新动态视频,娱乐圈幕后真相大曝光!
    • 于正爆料最新动态视频,娱乐圈幕后真相大曝光!
    admin admin 2025-11-28 82 0
    黑料百科
  • 抖音网红瓜在线吃,揭秘网红幕后生活

    你有没有发现,最近抖音上那些网红瓜真是让人停不下来啊!一打开抖音,各种八卦、爆料、幕后故事,简直就像打开了一个神秘的宝库,让人欲...

    • 抖音网红瓜在线吃,揭秘网红幕后生活
    • 抖音网红瓜在线吃,揭秘网红幕后生活
    • 抖音网红瓜在线吃,揭秘网红幕后生活
    admin admin 2025-11-28 69 0
    今日吃瓜
  • 电竞圈内大佬爆料

    你知道吗?最近电竞圈内可是炸开了锅,一位神秘的大佬竟然爆出了行业内幕,这可真是让人兴奋不已啊!咱们就一起来聊聊这个话题,看看这位...

    • 电竞圈内大佬爆料
    • 电竞圈内大佬爆料
    • 电竞圈内大佬爆料
    admin admin 2025-11-28 66 0
    今日吃瓜
  • 娱乐圈爆料陈哲远徐梦洁,娱乐圈新恋情引热议

    娱乐圈爆料:陈哲远与徐梦洁的甜蜜互动,揭秘他们的爱情故事最近,娱乐圈里的一对新人陈哲远和徐梦洁成为了大家关注的焦点。他们不仅在作...

    • 娱乐圈爆料陈哲远徐梦洁,娱乐圈新恋情引热议
    • 娱乐圈爆料陈哲远徐梦洁,娱乐圈新恋情引热议
    • 娱乐圈爆料陈哲远徐梦洁,娱乐圈新恋情引热议
    admin admin 2025-11-28 166 0
    热门大瓜
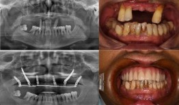
  • 佛山种牙爆料事件最新,揭露行业乱象,患者权益如何保障?

    最近佛山那边的种牙事件可是闹得沸沸扬扬的,咱们得好好来聊聊这个话题。你有没有想过,一颗牙齿的种植竟然能引发这么大的波澜?那就让我...

    • 佛山种牙爆料事件最新,揭露行业乱象,患者权益如何保障?
    • 佛山种牙爆料事件最新,揭露行业乱象,患者权益如何保障?
    • 佛山种牙爆料事件最新,揭露行业乱象,患者权益如何保障?
    admin admin 2025-11-27 105 0
    黑料吃瓜
  • 王者最新爆料黄忠是谁,黄忠化身神秘英雄,揭秘三国名将传奇归来

    最近王者荣耀界可是炸开了锅,大家都在热议一个超级神秘的新角色——黄忠!没错,就是那个在历史上以勇猛著称的蜀汉名将黄忠。今天,就让...

    • 王者最新爆料黄忠是谁,黄忠化身神秘英雄,揭秘三国名将传奇归来
    • 王者最新爆料黄忠是谁,黄忠化身神秘英雄,揭秘三国名将传奇归来
    • 王者最新爆料黄忠是谁,黄忠化身神秘英雄,揭秘三国名将传奇归来
    admin admin 2025-11-27 107 0
    黑料吃瓜
首页 上一页 13 14 15 16 17 18 19 20 21 22 下一页 尾页

正在加载...

没有更多内容

加载错误

热评文章

  • 吃瓜娱乐圈雪莉,娱乐圈的瓜田传奇

    吃瓜娱乐圈雪莉,娱乐圈的瓜田传奇

    2025-08-21
  • 最新火影爆料人物排名图片,人物实力排名大揭秘!

    最新火影爆料人物排名图片,人物实力排名大揭秘!

    2025-08-21
  • 谭维维爆料婚礼现场视频,浪漫瞬间感动网友

    谭维维爆料婚礼现场视频,浪漫瞬间感动网友

    2025-08-21
  • 娱乐吃瓜酱网购,轻松get时尚好物

    娱乐吃瓜酱网购,轻松get时尚好物

    2025-08-21
  • 台风苏拉最新爆料新闻,强度升级,路径调整,多地预警

    台风苏拉最新爆料新闻,强度升级,路径调整,多地预警

    2025-08-21
  • 八卦爆料双马哥视频,八卦爆料视频背后的惊人真相

    八卦爆料双马哥视频,八卦爆料视频背后的惊人真相

    2025-08-21
  • 老婆大人店爆料视频,独家爆料视频带你探秘幕后故事

    老婆大人店爆料视频,独家爆料视频带你探秘幕后故事

    2025-08-21
  • 原神五星最新角色爆料图

    原神五星最新角色爆料图

    2025-12-13

热门文章

  • 娱乐圈爆料王一博吴磊,甜蜜互动引粉丝热议

    娱乐圈爆料王一博吴磊,甜蜜互动引粉丝热议

    2025-08-22
  • 最新火影爆料人物排名图片,人物实力排名大揭秘!

    最新火影爆料人物排名图片,人物实力排名大揭秘!

    2025-08-21
  • 吃瓜娱乐圈雪莉,娱乐圈的瓜田传奇

    吃瓜娱乐圈雪莉,娱乐圈的瓜田传奇

    2025-08-21
  • 八卦爆料双马哥视频,八卦爆料视频背后的惊人真相

    八卦爆料双马哥视频,八卦爆料视频背后的惊人真相

    2025-08-21
  • 信一最新爆料,揭秘行业黑幕,深度解析事件真相

    信一最新爆料,揭秘行业黑幕,深度解析事件真相

    2025-08-22
  • 娱乐吃瓜酱网购,轻松get时尚好物

    娱乐吃瓜酱网购,轻松get时尚好物

    2025-08-21
  • 老婆大人店爆料视频,独家爆料视频带你探秘幕后故事

    老婆大人店爆料视频,独家爆料视频带你探秘幕后故事

    2025-08-21
  • 圈内爆料陈晓是谁啊知乎,陈晓是谁?知乎热议的神秘人物

    圈内爆料陈晓是谁啊知乎,陈晓是谁?知乎热议的神秘人物

    2025-08-21

标签列表

  • 吃瓜网t7wcc (0)
  • 黑料吃瓜网 (0)
  • 网曝黑料猛料吃瓜网 (0)
  • 反差黑料吃瓜网正能量 (0)
  • 反差婊吃瓜黑料热门网曝 (0)
  • 国产热门事件黑料吃瓜网汇总 (0)
  • 17吃瓜网官网 (0)
  • 网曝黑料国产吃瓜 (0)
  • cg51吃瓜网黑料 (0)
  • 黑料吃瓜网免费进入 (0)
  • 51fun吃瓜网-热心群众张炳 (0)
  • 吃瓜网51爆料yandex (0)
  • 吃瓜爆料网不打烊 (0)
  • 51FUN吃瓜网官网 (0)
  • 免费黑料吃瓜网爆网站 (0)
  • 黑料吃瓜最新官网地址:ZZTT.WINZZTT.WIN (0)
  • 吃瓜黑料网免费进入 (0)
  • 国产热门事件黑料吃瓜网 (0)
  • 网曝吃瓜黑料一区在线 (0)
  • 黑料吃瓜网在线进入首页 (0)
  • 黑瓜吃料网入口 (0)
  • 黑料吃瓜155.网爆国产 (0)
  • 17C吃瓜网 - 免费吃瓜 (0)
  • 黑料吃瓜网-热点事件-黑料不打烊 (0)
  • 51吃瓜爆料黑料官网I60UJBN (0)

Copyright 2025 吃瓜不打烊-吃瓜群-www.51吃瓜黑料-51黑料吃瓜中心-网红吃瓜爆料